COTW: 79F presenting with N/V and shortness of breath

79 yo F history of Parkinson’s disease, multinodular goiter with hyperthyroidism s/p excision, past hysterectomy and inguinal hernia repair brought in by daughter for progressive nausea, vomiting, abdominal distention for the last 5 days now. Has also had worsening shortness of breath and “panting.” Last bowel movement >5d ago.

Vitals: BP 115.78 | HR 110 | RR 36 | SpO2 95% RA

Exam: Thin appear woman with distended abdomen, no significant TTP. Lungs clear

ECHO and EKG unremarkable. Labs show AKI and mildly elevated lactate with increased LFTs and bilirubin

The diagnosis isn’t rocket science BUT this case points to how doing a quick ultrasound can save a lot of time in making your diagnosis and getting consulting services on board.

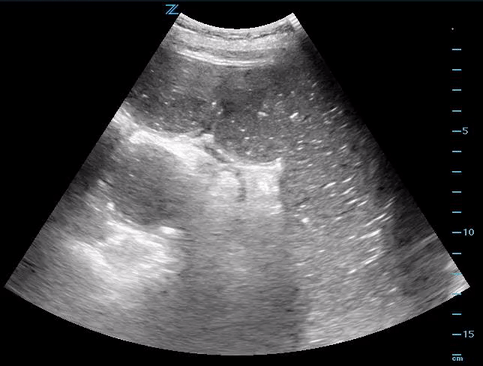
To-and-fro or pendulous peristalsis

As well as hyperechoic spot echos (feculent matter)

Distended stomach

Patient had 2.5L of output immediately on placement of NGT

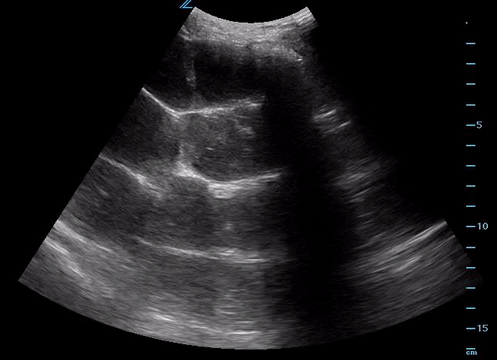
Why does our patient have elevated LFTs?

As the bowel becomes more distended it can cause obstructions in other parts of the abdomen (billiary system, kidneys, etc) as shown in the images below.

CT scan confirmed SBO secondary to incarcerated loop of small bowel within R obturator hernia with moderate right sided hydronephrosis.

Previous
Previous

COTW 11/27/22 67 Year old male presents with 1 day of painless vision loss.

Next
Next

COTW 11/6/22 62F presenting for shortness of breath